Get A Quote

Managing an Atrophic Mandible With Short Implants

By: Winter, Richard | Published: 2018 in Dentistry Today

For patients who suffer from severe mandibular atrophy (a “D” ridge), the options for rehabilitation are dentures; sub-periosteal implants; grafting with titanium cages using bone harvested from an iliac crest, a tibia, or a symphysis, with or without bone morphogenic proteins; or short implants. The challenges of these treatment modalities include surgical and prosthetic complications, and many of the grafting options would preclude the patient from wearing a prosthesis during the healing stages of tent or block grafting procedures.

This case report highlights the diagnosis, treatment planning, surgical implant protocol, and steps required to finish the case that would ensure the long-term success of the implant treatment.

Case Report

In order to treatment plan patients with complex restorative needs, it is important to identify the patient’s chief complaint and his or her budget and utilize dynamic treatment planning so that an “Upgrade Path” can be presented.[1] By reverse engineering a treatment plan, we can help patients by presenting options that fit within their financial limits and help them say “yes” to a treatment option.

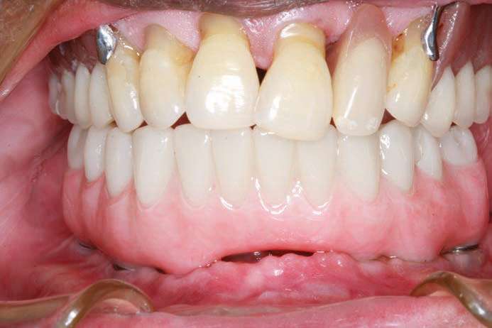
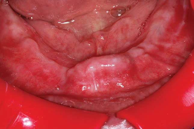
A patient presented with an ill-fitting upper partial denture opposing an ill-fitting lower complete denture. This patient had an epulis in the maxillary arch. Multiple frena were present, with high attachments in the lower arch that required pre-prosthetic modification prior to creating prototype prostheses that would be used to dictate implant placement (Figure 1). He reported no significant medical problems.

A 10,600-nm CO2 laser (LightScalpel) would be used for the epulis removal and frenectomies. The LightScalpel is a spatially accurate laser that uses water as a main chromophore, resulting in precisely controlled tissue removal (ablation) with a nearly bloodless field. It seals lymphatics and establishes hemostasis, as its coagulation/hemostasis depth at the CO2 laser wavelength just exceeds capillary diameters.[2] Since the 10,600-nm wavelength is highly absorbed and poorly scattered, it is controlled at the ablated surface without the scatter created by other laser wavelengths that can cause deeper necrosis. It can also be used to uncover implants without damaging the titanium.[3]

The anticipated treatment (a mandibular implant-supported prosthesis) would further benefit from the frena removal since there would be less tissue pull on the implants and prosthesis if the frenectomies were done prior to the surgery. It has been suggested that tissue biotype adequacy of keratinized tissue may influence cleansability and the stability of tissues surrounding implants. Frena pulls can lead to incision line openings, interfere with primary closures, or lead to peri-implant mucositis or peri-implantitis if tissue friability affects cleansability.[4]

After anesthesia, the laser was used with a non-SuperPulse beam at 3W and on Repeat Pulse mode F1-2 to gently remove the epulis. A suture was passed through the irritated tissue so slight traction could be used when removing the excess tissue (Figure 2). For the frenectomy, the same settings were used. The tissue was released in a gentle paint brush manner until the ablated frenum appeared to “unzip” and there was no movement of the ridge with movement of the lip (Figure 3a). After 2 weeks, the tissues were sufficiently healed to begin the prototype prostheses, and his existing denture and partial were conditioned using a tissue conditioner (HydroCast [Sultan Healthcare]). Note in Figure 3b that the tissues subsequently healed well and the frena were gone.

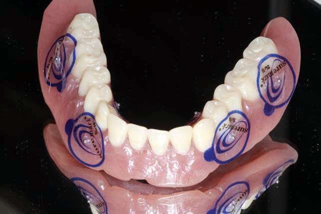
After the patient had the upper partial denture and lower denture fabricated and the vertical dimension of occlusion, aesthetics, and phonetics were verified, the approved lower denture was used as a vehicle for fiduciary markers so that a CBCT scan could be done. If needed, a surgical guide could be fabricated from a dual-scan protocol (Suremark) (Figure 4).

In this case, the DICOM images were submitted to 3DDX so that the CBCT scan could be reformatted and used to fabricate a mucosa or bone-supported surgical guide. 3DDX is a company that offers implant treatment planning, radiology reports, surgical guide fabrication, and support to ensure the clinician can provide a smooth and seamless surgery. After assessing the reformatted CBCT scan, coDiagnostiX software (Dental Wings) was used to virtually place implants within the confines of the scanned denture. This was done to ensure that the implants would be prosthetically guided and placed within the confines of the verified denture construct (Figure 5). Typically, reformatted images and fine-tuning sessions can be done within a week to expedite surgeries. As the planning was done, the extent of the mandibular atrophy could be appreciated as well as visualizing additional anterior segments to the inferior alveolar nerve and artery. A radiology report was sought, and it confirmed these anatomic aberrations so that they could be appropriately considered in the implant-planning stages.[5]

At this juncture, an evaluation can be made as to whether bone grafting, in the form of titanium cages and growth factors, or block grafting from the hip or tibia would be considered, as well as the costs and co-morbidities of these surgical options. A sub-periosteal implant was also suggested, and the patient preferred to have a fixed prosthesis, if possible. The development of improved implant surface topography and stronger titanium alloy formulation has further stimulated the production and utilization of shorter implants.[6-9] One potential disadvantage in using short implants is an increased crown-to-implant ratio. This creates a cantilever and may increase forces to the implant abutment interface. According to current literature, this concern has not been proven as being relevant to the success of these prostheses.[7,10,11] Short implants may be successfully utilized in the atrophic maxilla and mandible with a high degree of success, according to randomized controlled trials, if there is 6.0 to 8.0 mm of bone in the posterior maxilla or 8.0 to 10.0 mm of bone in the posterior mandible.[12,13]

It is imperative to realize that factors surrounding the decision to use short implants vs bone grafting with subsequent implant placement are multi-factorial. Furthermore, the decision should always be based upon the care, skill, and judgment of the surgeon, along with the full informed consent of the patient as to the various treatment options, risks, and benefits of all available treatment modalities. The zones of safety are of paramount importance in evaluating implant sites. The morbidity of secondary surgical sites, risks of augmentation, and bone resorption and anatomical limitations of a patient’s existing atrophy must be fully examined and evaluated based upon CBCT records. Direct intraoperative clinical evaluation must also be used to determine the best treatment options with the least risk for the best possible patient outcome.

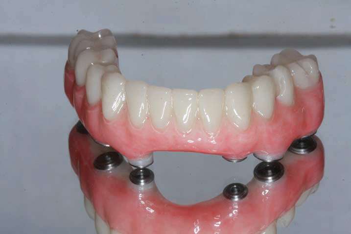
Given the patient’s budget and aversion to being without teeth for a prolonged healing period, short implants would be used to facilitate this rehabilitation. The costs, advantages, disadvantages, alternatives, benefits, and risks were all discussed, and the patient opted for 6 short BioHorizons mandibular implants with a BruxZir Solid Zirconia Full-Arch Implant Prosthesis (Glidewell Laboratories).

The surgical guide was fabricated per prescription by 3DDX and, after a fine-tuning session, it was returned to be tried in to confirm accuracy (Figure 6a). A guided surgical kit (3DDX Universal guided kit) was used with keys to sequentially enlarge the osteotomies (Figure 6b), and the final drills from the BioHorizons kit were used to finalize the osteotomy prior to implant placement.

BioHorizons implants were selected in order to increase bone-implant contact, as the threads are designed to optimize bone contact as well as utilize Laser-Lok technology (BioHorizons) to hold the hemidesmosomes of the tissue so that the tissues would be less friable and provide for better tissue dynamics. Upon implant placement, a Piezo surgical device (PIEZOSURGERY by Mectron) was used to remove sharp lips of bone as the implants were countersunk by design. The PIEZOSURGERY by Mectron works by using micro-vibrations to cut bone while minimizing soft-tissue trauma. The device and its internal irrigation provides an almost blood-free foundation while cleaning around the implants and removing unwanted tissues. The cutting is micrometric, and the micro-vibrations not only cut bone but help collect bone particles to be used in the defects around the implants so the autogenous shavings can be placed adjacent to the exposed threads or fenestrations[14] (Figure 7).

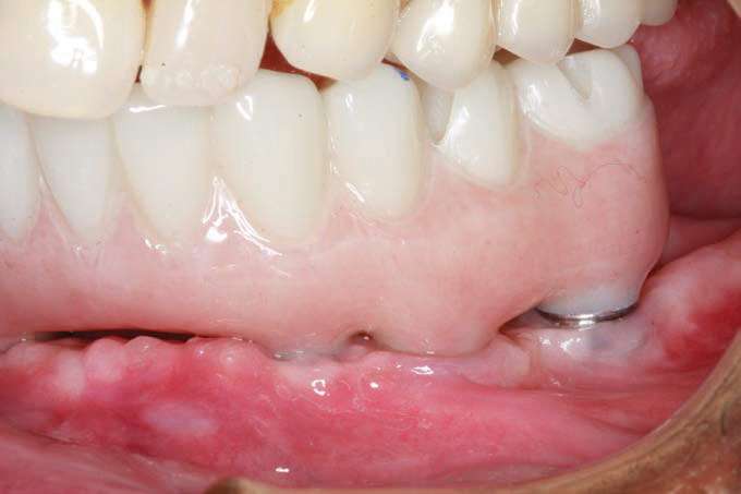
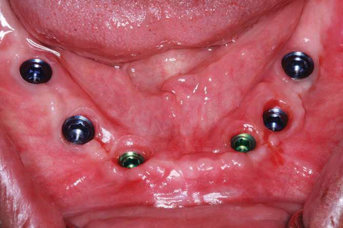
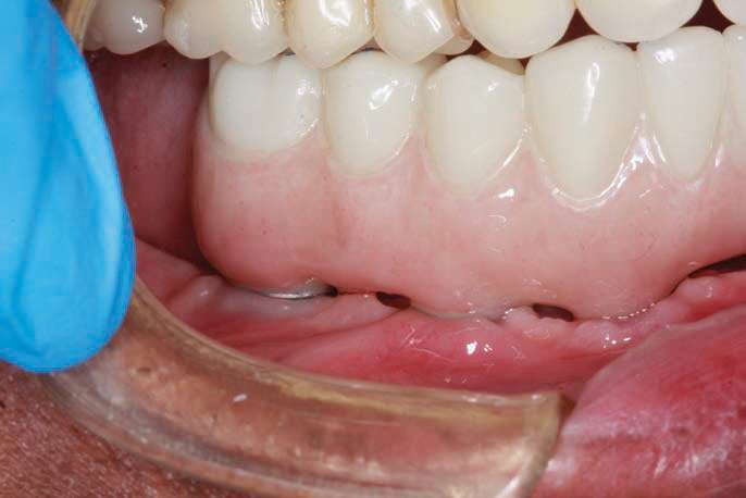
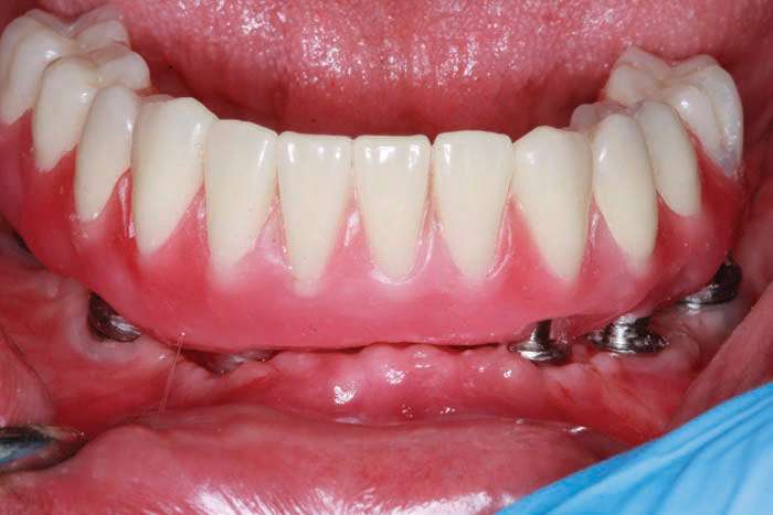
The BioHorizons implants were placed with a good A-P spread, and the bone in the anterior mandible was left in case it was needed at the uncovery appointment (Figure 8). At the uncovery visit, the LightScalpel laser was used to perform a trephine of the posterior implants by placing the surgical guide, marking the osteotomy sites with a Dr. Thompson’s marking stick, and (using a super-pulsed 2W setting) to gently remove the cuff of tissue over the implants (Figure 9). In the anterior mandible, a full-thickness flap was done, and the remaining bone was removed with the PIEZOSURGERY device (Figure 10). The peri-mucosal healing abutments were placed, and a soft-tissue conditioner was placed in the lower denture (Figure 11). After one month of healing, the patient was ready for impressions (Figure 12).

The 3-in-1 abutments are included with the Tapered Internal Dental Implants (BioHorizons) and, when a ball-top screw is placed, these become impression copings (Figure 13a). The initial ball-top screw impression was taken (Aquasil Ultra Xtra Plus [Dentsply Sirona Restorative]) (Figure 13b). This impression material has excellent wettability and tear strength for capturing the subgingival abutment implant interface. The setting time of 5.5 minutes gives adequate working time and is appropriate for larger cases for which an extended working time is desirable.

Next, the implant verification jig (provided by the dental laboratory team) was luted together intraorally with a pattern resin (Primatec) that shrinks less than 0.1%. The Sheffield one-screw test was used to verify passivity of the jig. This test involves tightening one screw and checking to see if the luted jig stays stable. Then alternate screws are tightened to check for movement and stability. Finally, a pick-up impression was made of the implant verification jig so a master cast could be made (Figure 14). The open-tray impression provides for an accurate implant and jig transfer so that the working cast is as accurate as possible.

A wax-rim was sent for recording a maxilla-mandibular jaw registration (Figure 15), and then teeth were set, and a wax set-up (Glidewell Laboratories) was returned to evaluate phonetics, aesthetics, and verti-centric (Figure 16). A PMMA provisional implant prosthesis was fabricated and delivered, giving the patient an opportunity to verify the prosthetic design, aesthetics, and phonetics during function (Figure 17).

At this time, the patient suffered a stroke and lost some of the dexterity in his hands. It became evident when observing the patient’s difficulty in cleaning the PMMA provisional implant prosthesis, that he would require help from his wife. In addition, the gingival embrasures would need to be opened up more to allow for easier access with at-home cleaning aids (such as GUM Proxabrush Go-Betweens Cleaners [Sunstar Americas] and Waterpik). Instructions for these prosthetic design modifications were submitted to the dental lab, which sent updated CAD design images for clinician approval, prior to finalization of the prosthesis. After review, the digital design was modified until we had a cleansable gingival surface for the BruxZir Solid Zirconia Full-Arch Implant Prosthesis (Figures 18a to 18d). An additional PMMA provisional implant prosthesis was fabricated and delivered to confirm these final design changes; it had an almost Roman aqueduct appearance to the gingival surface of the prosthesis (Figure 19).

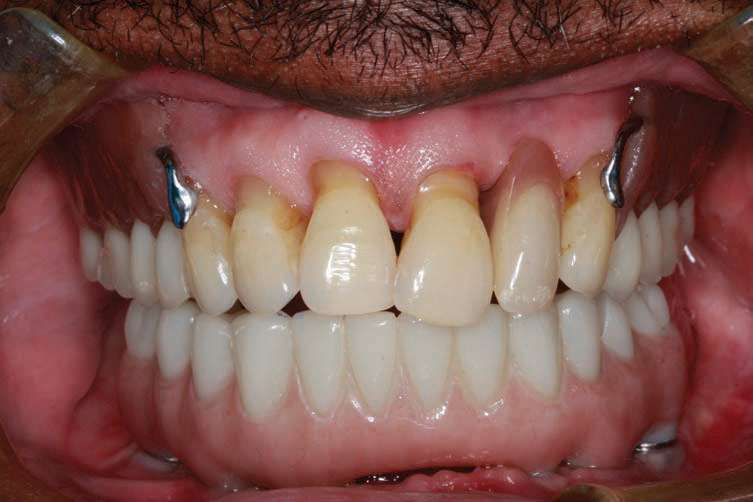
The final monolithic zirconia restoration was fabricated based on the same digital design as the approved PMMA provisional, allowing the patient and his wife easy access for all cleaning implements. The patient had little food impaction and was comfortable with his border movements and ability to really cut and chew his food.

The completed BruxZir Full-Arch Implant Prosthesis is the culmination of great communication with the dental lab team. The final prosthetic result ensured that the patient would not only enjoy his new bridge but would also be able to clean and maintain it with one hand (Figure 20). The relaxed smile view and postoperative Panorex (Figures 21 and 22) shows appropriate lip and tooth display and was a vast improvement over his removable lower denture. The full-face, postoperative photo (Figure 23) of the pleased patient demonstrates that the dictates of aesthetic rehabilitation were met.

In Closing

While the mandible is a “U-shaped” bone that requires ability to move in the x-, y-, and z-axes, the A-P spread of the implants ended close to the mandibular second bicuspid, which allowed for flexure of the mandible and ensured the patient did not have pain that may have been associated with splinting his entire mandible together in function from first molar to first molar. Short implants have been well documented in the literature for long-term success rates. The ability to place a fixed prosthesis against a removable partial also decreased forces of mastication and provided more relief in this case. Force factors, parafunction, implant length and width, and facial type and sex are all factors that must be assessed when deciding upon the ideal restorative plan for a patient.

In this case study, short implants were able to help a patient with a history of stroke and decreased manual dexterity to have the ability to have a fixed prosthesis. The implants improved his ability to chew and enjoy his food without the added difficulty that removal and placement of a removable prosthesis would have created. Many grafting procedures could have been contemplated, but the budgetary limitations presented this as the best option for this particular patient. A variety of technologies, a 10,600-nm CO2 laser, and a Piezo surgical device helped facilitate ideal implant placement and were welcomed adjuncts for this case.

About the Author

Dr. Winter

is a Diplomate in the American Board of Oral Implantologists/Implant Dentists. He has a Fellowship in the American Academy of Implant Dentistry. He is a Diplomate in the International Congress of Oral Implantologists and the American Board of Laser Surgery. Dr. Winter is a Master in the AGD, a Fellow in the ADI and ICD. He graduated from the University of Minnesota School of Dentistry in 1988 and maintains a private practice in Milwaukee. He lectures on “Upgradeable Dentistry,” “General Dentistry As A Specialty,” and “Advanced Treatment Planning for Implants and Cosmetics.” He can be reached at rick@winterdental.com.

References

  1. Winter R. Upgradeable dentistry: Part 1. Dent Today. 2009;28:82-87.
  2. Vitruk P. Laser education, science and safety: a review of dental laser education standardsDentaltown. 2017;17:62-67.
  3. Pogrel MA. The carbon dioxide laser in soft tissue preprosthetic surgery. J Prosthet Dent. 1989;61:203-208.
  4. Krauser J, Vitruk P. The 10.6 µm SuperPulse CO2 laser may alleviate the late implant failure linked to tissue tensionImplant Practice US. 2015;8:26-32.
  5. Juodzbalys G, Wang HL, Sabalys G. Anatomy of mandibular vital structures. Part I: Mandibular canal and inferior alveolar neurovascular bundle in relation with dental implantology. J Oral Maxillofac Res. 2010;1:1-8.
  6. Mendonça JA, Francischone CE, Senna PM, et al. A retrospective evaluation of the survival rates of splinted and non-splinted short dental implants in posterior partially edentulous jaws. J Periodontol. 2014;85:787-794.
  7. Monje A, Suarez F, Galindo-Moreno P, et al. A systematic review on marginal bone loss around short dental implants (<10 mm) for implant-supported fixed prostheses. Clin Oral Implants Res. 2014;25:1119-1124.
  8. Lee JS, Kim HM, Kim CS, et al. Long-term retrospective study of narrow implants for fixed dental prostheses. Clin Oral Implants Res. 2013;24:847-852.
  9. Thoma DS, Cha JK, Jung UW. Treatment concepts for the posterior maxilla and mandible: short implants versus long implants in augmented bone. J Periodontal Implant Sci. 2017;47:2-12.
  10. Blanes RJ, Bernard JP, Blanes ZM, et al. A 10-year prospective study of ITI dental implants placed in the posterior region. II: Influence of the crown-to-implant ratio and different prosthetic treatment modalities on crestal bone loss. Clin Oral Implants Res. 2007;18:707-714.
  11. Atieh MA, Zadeh H, Stanford CM, et al. Survival of short dental implants for treatment of posterior partial edentulism: a systematic review. Int J Oral Maxillofac Implants. 2012;27:1323-1331.
  12. Thoma DS, Zeltner M, Hüsler J, et al. EAO Supplement Working Group 4—EAO CC 2015. Short implants versus sinus lifting with longer implants to restore the posterior maxilla: a systematic review. Clin Oral Implants Res. 2015;26(suppl 11):154-169.
  13. Nisand D, Picard N, Rocchietta I. Short implants compared to implants in vertically augmented bone: a systematic review. Clin Oral Implants Res. 2015;26(suppl 11):170-179.
  14. Chiriac G, Herten M, Schwarz F, et al. Autogenous bone chips: influence of a new piezoelectric device (Piezosurgery) on chip morphology, cell viability and differentiation. J Clin Periodontol. 2005;32:994-999.

Disclosure: Dr. Winter has received support from PIEZOSURGERY by Mectron, Glidewell Laboratories, and BioHorizons.