Introduction
In order to rebuild the necessary orofacial function in adult patients, a Tongue-Tie Functional Release[1] includes the mandatory pre- and post- frenectomy myofunctional therapy and the CO2 laser frenectomy, preferably under topical anesthesia and in combination with the Tongue Movement Assessment for ideal release to achieve optimal function.
This article introduces a more advanced functional approach to the release of oral restrictions: the Osteopathically Guided Functional Frenectomy performed under the real-time palpatory guidance of an osteopath trained in assessing the soft tissues and myofascial strains. Pre- and post-surgical osteopathic assessment and myofunctional therapy exercises are critical parts of such Functional Frenectomy (Osteopathically Guided) as they help to better identify the restrictions as well as to re-pattern tongue function once the restriction is released and ensure long-lasting functional results.

Tongue and Lip Oral Restrictions
The lingual frenum[2-4] is the median convergence point of two lateral lingual swellings in embryologic development; and it is visualized as a small midline fold of mucus membrane connecting the floor of the mouth to the undersurface of the tongue. Histologic studies have shown high concentrations of type I collagen in all types of lingual frenum. [1-5] Type I collagen is also found in ligaments and connective tissues required to withstand high traction resistance. A restrictive lingual frenum (referred to as ankyloglossia or tongue-tie), is a common congenital abnormality where the lingual frenum is overly short and tight (posterior ankyloglossia) or aberrantly attached anteriorly to the ventral surface of the tongue (anterior ankyloglossia). The morphology of the lingual frenums helps to justify the release of the sustained tension, within restrictive frenums, in ones attempt to restore normal tongue function.
Through intra-procedural observation, predictable patterns of oral tissue restriction and the surrounding anatomy are being identified. It has been consistently observed that the mandibular labial frenums have a superficial anterior fascial connection through the platysma and infrahyoid muscles into the clavicles and anterior chest wall; that the maxillary labial frenums have a more posterior fascial connection most significantly observed in the condyles of the occiput, the suboccipital region, and surrounding the temporal bones; and that the lingual frenums have a deeper, more central fascial connection extending down the deep cervical myofascial system and beyond the cervicothoracic junction.
Constant, repetitive, and incorrect use of tongue and lips leads to deformation and damage to orofacial structures that needs to be corrected. Oral restrictions may affect the maxilla, the palate, the mandible, and, beyond the oral cavity, the occiput and the anterior cervical fascia that go in through the chest. A combination of oral frena may create a fascial restriction that extends all the way down into the thoracic spine and sometimes lower. Oral soft tissue contains numerous little fibers, not immediately obvious, restrictive impact of which may be very significant. And in the authors’ experience, after having these small restrictive fibers released, patients had noticeable results, where their shoulders relaxed and lowered, their head posture changed, their breathing improved, and so on.

Functional Frenectomy (Osteopathically Guided)
Treatments for ankyloglossia and labial frenal restrictions include frenectomy; most up-to-date techniques involve lasers.[4-6] With CO2 laser frenectomy, patients report less post-operative pain and discomfort than with the scalpel.[5] CO2 laser ablates tissue while coagulating small blood and lymphatic vasculature; this creates clear surgical site and helps preventing post-surgical edema.
The presence of an aberrant frenum is often obvious on the initial examination and it is clear what tissue to ablate in order to remove the restriction. But sometimes restrictions are not always immediately noticeable. And to truly benefit the patient and specifically target areas that are interconnected to oral restrictions, frenectomy procedures are performed under the palpatory guidance of an osteopath who is trained in assessing the soft tissues and myofascial strains. The laser clinician uses a probe inside the patient’s mouth to find “tight places” or tension bands, while the osteopath provides constant feedback pointing out whether the spot that appears tight is, indeed, restrictive in the way it is connected to other structures. This approach makes the procedure most effective allowing the laser clinician remove only the true restrictions that need to be released.
The authors’ technique for the osteopathically guided Functional Frenectomy involves of the following phases:
- Pre-surgical osteopathic structural assessment and manipulative treatment, and myofunctional therapy exercises to prepare and re-pattern tongue function once the restriction is released;
- CO2 laser frenectomy, preferably under topical anesthesia and combined with real-time lingual and labial restriction assessment by palpatory guidance of an osteopath to achieve ideal release for the optimal function;
- Post-procedure osteopathic structural assessment and manipulative treatment, and myofunctional therapy exercise program to ensure long-lasting functional results.
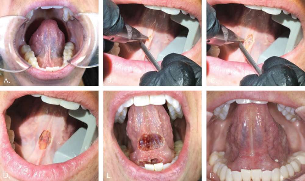
The osteopathically guided Functional Frenectomy (for both labial and lingual restrictions) is illustrated by the clinical case shown in Figures 1-3. Note both the immediately improved mobility and lift of the tongue. The well controlled hemorrhage, sealed lymphatics and reduced zone of thermal impact result in less edema and discomfort to the patient. Magnification during the frenectomy is strongly encouraged due to the close proximity of large blood vessels to the surgical site. The authors prefer using topical anesthesia to increase the reliability of the functional assessment during the release. However, the patient in this case felt the laser at times and small amounts of local anesthetic were administered to the upper and lower frenectomy sites.
In order to achieve the proper myofascial release in adult patients, it is not sufficient to just remove the aberrant frena. Under the osteopathic guidance, the clinician should often re-access the effect of the restriction release on other myofascial structures. The clinician must take into account the jaw range of motion, the floor of the mouth flexibility, along with the tongue’s ability to elevate, protrude, and achieve lateral functions. The clinician should proceed slowly and cautiously. It is important to remember that full range of motion is not always possible due to other limitations, i.e., clinician needs to know when to stop to achieve the maximum benefit. Frenum that restricts proper lingual or labial motion feels tight to finger pressing in. Unrestricted tongue and lips feel soft. To feel for restrictions, one can grasp the tip of tongue or lip with gauze and gently pull the tongue upwards and the lip outwards. Finger pressure of the other hand could help reveal accessory restrictions as push back would be felt. In this case study, the clinician used the tongue director as a probe to apply pressure to the points that appeared restrictive, and removed those fibers, or not, depending on the real-time osteopathic feedback from Dr. Geis.
The patient normally returns to the dental office for healing assessment at varying intervals. The team then reviews and re-evaluates the benefits achieved. This is necessary for evaluation of the performance of the tongue and lips, the tone and function changes of the lingual muscles and the suppleness of the healing tissue at the surgical sites.

Why CO2 laser?
Not all lasers are equally good at vaporizing (i.e., ablating or cutting) and coagulating soft tissue. Figure 4 demonstrates the difference in the absorption spectra for the main soft tissue chromophores.[7-9] The CO2 lasers offer the following benefits for oral soft tissue surgery:
- Approximately 1,000 times greater photo-thermal cutting efficiency relative to dental diodes, and in approximately 10 times greater photo-thermal coagulating efficiency relative to erbium lasers;
- Close match between the coagulation depth of CO2 laser and the blood capillary diameters (Figure 4).[6,8,10] This close match distinguishes CO2 from erbium lasers and provides instant hemostasis during high speed ablation or cutting. It provides improved visibility of the surgical field and therefore enables more precise and accurate tissue removal;
- Minimal post-operative edema, pain and discomfort; due to the intraoperative closure of lymphatic vessels on the margins of the CO2 laser incision;[11,12]

Summary
The osteopathically guided labial and lingual functional frenectomy is performed with real-time palpatory feedback of a traditionally trained osteopathic physician, who helps the laser clinician to determine whether the seemingly apparent “ties” are truly restrictive in the way they are connected to other anatomical structures.
The use of CO2 laser for frenectomy enables the clinician to utilize only topical anesthetic most of the time. Pre- and post-surgical osteopathic assessment and manipulative treatment, and myofunctional exercises are integral elements of such Functional Frenectomy (Osteopathically Guided) as they help achieve long-lasting functional results.
Acknowledgments: The authors greatly appreciate the help and contribution from Anna (Anya) Glazkova, PhD, in preparing this material for publication.
Watch Surgical Footage From This Case Study
And Hear From the Patient at a 2-Week Follow-Up Appointment
References
- Fabbie P, Kundel L, Vitruk P. Tongue-Tie Functional Release. Dent Sleep Practice. Winter 2016: 40-45.
- Queiroz Marchesan I. Lingual frenulum: classification and speech interference. Int J Orofacial Myology. 2004;30:31-8.
- Defabianis P. Ankyloglossia and its influence on maxillary and mandibular development. (A seven year follow-up case report). Funct Orthod. 2000;17(4):25-33.
- Fiorotti RC, Bertolini MM, Nicola JH, Nicola EM. Early lingual frenectomy assisted by CO2 laser helps prevention and treatment of functional alterations caused by ankyloglossia. Int J Orofacial Myology. 2004;30:64-71.
- Haytac MC, Ozcelik O. Evaluation of patient perceptions after frenectomy operations: a comparison of carbon dioxide laser and scalpel techniques. J Periodontol. 2006;77(11):1815-9.
- Namour S. Atlas of Current Oral Laser Surgery. Boca Raton, FL: Universal Publishers; 2011.
- Jacques SL. Optical properties of biological tissues: a review. Phys Med Biol. 2013;58:37-61.
- Vitruk P. Oral Soft Tissue Laser Ablative & Coagulative Efficiencies Spectra. Implant Practice US. 2014;7(6):22-27.
- Vogel A, Venugopalan V. Mechanisms of pulsed laser ablation of biological tissues. Chem Rev. 2003;103(2):577-644.
- Wilder-Smith P, Arrastia AM, Liaw LH, Berns M. Incision properties and thermal effects of three CO2 lasers in soft tissue. Oral Surg Oral Med Oral Pathol Oral Radiol Endod. 1995;79(6):685-91.
- Kaplan M, Vitruk P. Soft tissue 10.6 micrometers CO2 laser orthodontic procedures. Orthodontic Practice US. 2015;6(6):53-57.
- Strauss RA, Fallon SD. Lasers in contemporary oral and maxillofacial surgery. Dent Clin North Am. 2004;48(4): 861-888.



