A laser-focus on the treatment modalities of mucoceles
Abstract
The definition, etiology, clinical manifestations, prevalence and differential diagnosis of two types of mucocele are covered. Both surgical and non-surgical treatment modalities are outlined. A case study illustrates the CO2 laser excision of a mucocele in a pediatric patient, emphasizing highly efficient soft-tissue vaporization, hemostasis and healing with minimized damage to surrounding tissues, reduced edema and risk of complications.
Educational objectives
- Learn the definition, etiology, clinical manifestations, prevalence and differential diagnosis of two types of mucocele.
- Learn various treatment modalities for mucocele removal, both surgical and nonsurgical.
- Learn the laser tissue interaction differences as far as wavelength impact on absorption, cutting efficiency, coagulation and hemostasis depth.
- Learn about the post-CO2 laser surgery scar-free healing by second intention with minimized production of myofibroblasts, minimized damage to surrounding tissues, reduced postoperative swelling and edema, and lowered risk of complications.
- Learn through a case study the specifics of pre- and postoperative care for CO2 laser treatment of the mucocele in a pediatric patient.
Introduction
Mucoceles,[1-10] pseudocysts of the oral cavity, are the most common minor salivary gland disorder and, after irritation fibromas, the second most frequent benign soft-tissue tumors.[2] They are painless, unless ulcerated due to trauma, and tend to come back after treatment,[1-22] especially when nonsurgical methods such as cryosurgery, intralesional corticosteroid injection or micro-marsupialization are used.[2]
These lesions are most often referred to by the general term mucocele, while mucoceles on the side of the mouth floor adjacent to sublingual glands are variants referred to as ranulae.[3] The various differential diagnoses are Blandin and Nuhn mucocele, lipoma, malignant or benign salivary gland neoplasms, oral lymphangioma, oral hemangioma, soft irritation fibroma, venous varix or venous lake, oral lymphoepithelial cyst, gingival cyst in adults, soft-tissue abscess, cysticercosis (parasitic infection).[20] Superficial mucoceles may also be confused with bullous lichen planus, cicatricial pemphigoid and minor aphthous ulcers.[20] Mucoceles affect both genders and all ages. The peak incidence during 10–29 years of age may be attributed to the asymptomatic nature of mucoceles, which leads patients to not always seek treatment.[1]
Mucoceles can develop over one week or up to five years, although the most common duration is three weeks to three months.[3] Mucoceles may occur due to repeated biting or sucking of the lip or cheek, twitches, or tooth decay.[1,5] They may also occur from accidental trauma or irritation from orthodontic devices or musical instruments.[1,2]
Mucoceles form when sublingual ducts are obstructed, or because of mucus extravasation that’s caused by sublingual duct trauma.[1] The traumatic ductal insult causes extravasation of saliva into adjacent soft tissues. A blue lesion that develops after trauma is in many cases a mucocele, while other lesions, such as salivary gland neoplasms, soft-tissue neoplasms, vascular malformation and vesiculobullous diseases should also be considered.[19]
The extravasation of saliva and mucus from one or multiple minor salivary glands pools in the adjacent submucosal tissue, becomes retained or walled off, and causes intermittent swelling.[5,18,19]
Depending on the type of mucocele, it may be lined by epithelium or covered by granulation tissue.[17] Lesions are raised, have no indurations, appear flaccid to the touch and have thin epithelium.[5] They are red to bluish in color—bluer when localized superficially because of the capillary network seen through them, and redder when in the presence of trauma, or when located deeply in tissues.[9] Mucoceles of the minor salivary glands can vary in size, from a few millimeters to a few centimeters in diameter. They are rarely larger than 1.5cm, but lesions arising from deeper areas like the floor of the mouth may be larger.[2,5,6,19] They may cause issues in speech, chewing or swallowing.[3]
Types of mucoceles
Mucoceles are divided into retention mucoceles and extravasation mucoceles.[3,6] Both types may rupture spontaneously a few hours after formation, releasing a viscous mucoid fluid.[7] Though the lesion may decrease in size afterward, it usually relapses once the small perforation heals, because secretions are able to accumulate again.[3,6] The lesion may become more nodular and firmer in response to palpation.[8]
Retention mucoceles occur most commonly on the floor of the mouth and palate.[19] These mucoceles, in which the mucin is confined within a dilated excretory duct or cyst, consist of a cystic cavity that has an epithelial wall that’s lined with cuboid or squamous cells.[2,19] Retention mucoceles are caused by the obstruction of minor salivary gland ducts by calculus or the formation of scar tissue around injured ducts.[19] As a result, saliva is blocked in the duct and accumulates, leading to swelling. Retention mucoceles are less frequent than extravasation mucoceles and occur more commonly in older populations.[2]
Extravasation mucoceles most frequently occur on the labial mucosa, where trauma is most common (45–70 percent of the time), but are also common on the buccal mucosa, tongue, floor of the mouth and retromolar region.[1-3,8,19] These mucoceles, covered with granulation tissue rather than epithelial tissue, hold mucus that spilled into connective tissue from a ruptured or traumatized salivary gland duct.[2,9] They make up more than 80 percent of all mucoceles and are common in patients 30 and younger.[2] Extravasation mucoceles are made up of surrounding connective tissue and inflammatory components, and do not have an epithelial cyst wall or distinct border.[3,6] In most cases, extravasation mucoceles develop when trauma causes the excretory ducts of minor salivary glands to become damaged or blocked, forming intraductal calculi, and the flow of saliva from these ducts is disrupted.[1,4,19]
Non-laser treatment options overview
Treatment options include medication (gamma-linolenic acid), cryosurgery, intralesional corticosteroid injection, micro-marsupialization, conventional surgical removal of the lesion, and laser ablation. Cryosurgery and intralesional corticosteroid injection may often result in relapses, and thus are not used often.[2,20] Scalpel, laser and electrosurgery techniques have been used for mucocele excision with variable success.[20] Patterns of healing were studied in rodent soft tissue, and wounds epithelialized fastest when treated by a laser, less quickly when treated by a scalpel, and slowest when done by cryosurgery.[13]
Typical minor salivary gland mucoceles rarely resolve on their own; thus, surgical resection is needed.[2] In most cases, treatment involves excising the cyst completely to remove the affected gland.[1,5] Complete excision of the mucocele minimizes relapse and is the preferred treatment technique.[1,6] A complete excision of smaller mucoceles and partial resection of the moderately sized mucoceles includes entirely removing affected and neighboring glands and pathological tissue, followed by closing the wound.[9]
Micro-marsupialization, or the “unroofing” technique[6,9] presents the high risk of recurrence, especially when the mucocele is an extravasation mucocele or ranula.[20,21] Injury to other glands and ducts with the suture needle must also be avoided to minimize recurrence.[9]
When using a scalpel, an elliptical incision is made to remove the entire lesion, along with overlying mucosa and all affected glands.[2,11] Using the scalpel requires great precision and control, as well as knowledge of the lesion and surrounding anatomy.[13,20] The clinician must be especially careful to avoid damaging other glands and ducts with the suture needle, which could cause recurrence.
For scalpel excision to be the most effective, the lesion must also have a wall of thick connective tissue. A mucocele with a thin wall may rupture, followed by the content leaking out and soft-tissue collapse. It then becomes harder to identify which components to cut out, which may complicate the procedure.[2] Local anesthesia is generally required, which may be difficult to administer to children with behavioral issues.
Electrosurgery is often more invasive because it may generate excessive heat, which scars tissue in many cases. The use of electrosurgery may be contraindicated around metal orthodontic appliances.[15,22]

Soft-tissue laser surgery: Wavelength matters
The key to successful applications of soft-tissue lasers, and their advantages over other surgical tools, is their ability to accurately cut and efficiently coagulate the soft tissue at the same time.
However, not all lasers are efficient at both cutting and coagulating. Some laser wavelengths, such as those of erbium lasers, are great at cutting but not as efficient at coagulating.[23] Other wavelengths, such as those of diode lasers, are efficient coagulators but poor scalpels.[24]
Only certain lasers, including the CO2 laser, are efficient at both cutting and coagulating the soft tissue.[23] The key to understanding how the laser light cuts and coagulates is through the wavelength-dependent nature of laser light’s absorption coefficient spectrum by the soft tissue, as presented in Fig. 1 for the three wavelength groups of practical dental lasers (with vastly different absorption spectra) on the market today—circa 1,000 nanometers (diodes and Nd:YAG laser); circa 3,000nm (erbium lasers); and circa 10,000nm (CO2 lasers).
Laser pulsing
Laser pulsing is as important as the wavelength. Both the laser pulse duration and the distance between laser pulses are important parameters with respect to the soft tissue’s ability to dissipate the heat from laser irradiation. The rate of speed at which the irradiated tissue diffuses heat away is defined by thermal relaxation time, or TRT,[23,24] which equals approximately 1.5 milliseconds for 75 percent water-rich soft tissue irradiated by the 10,600nm CO2 laser. (Fig. 1)
Practical implications of the TRT concept are simple and yet very powerful for the appropriate application of laser energy. The most efficient heating of irradiated tissue takes place when the laser pulse’s energy is high and its duration is much shorter than TRT, and the most efficient cooling of tissue adjacent to the ablated zone takes place if the duration between laser pulses is much greater than TRT. Such laser pulsing is referred to as “superpulse,” and is a must-have feature of any state-of-the-art soft-tissue surgical CO2 laser that minimizes the depth of coagulation.[23]
Photothermal laser ablation
The most eff icient soft-tissue laser ablation (as well as incision and excision) is a process of photothermal vaporization of intra- and extracellular water heated by the laser light within the irradiated soft tissue. Water vapors, rapidly steaming out of the intensely laser-heated soft tissue, carry cellular ashes and other byproducts of this fast boiling and vaporization process.
Because of weak absorption (Fig. 1) and strong scattering by the soft tissue, the near-infrared diode and Nd:YAG laser wavelengths circa 1,000nm are highly inefficient and spatially inaccurate photothermal laser ablation tools.[24]
Diode and Nd:YAG laser wavelengths are highly inefficient excision tools for mucocele removal. Instead, diode’s charred and hot glass tips can be used as thermal (i.e., non-laser) devices for soft-tissue cutting, similar to electrocautery.
Because of strong absorption by the soft tissue, erbium and infrared CO2 laser wavelengths are highly efficient and spatially accurate laser ablation tools,[23,24] which makes both erbium and CO2 laser wavelengths highly appropriate excision tools for mucocele removal described below. The soft-tissue ablation threshold fluence Eth at 10,600nm is approximately three joules per square centimeter[23] (for short pulse conditions referred to as “superpulse,” described above), which is 1,000 times lower than at the NIR wavelengths of diode and Nd:YAG lasers.
As Fig. 1 indicates, wavelengths circa 10,000nm are more than 1,000 times superior to wavelengths circa 1,000nm for soft-tissue ablation, and more than 10 times superior to wavelengths circa 3,000nm, in regard to the depth of soft-tissue coagulation and hemostasis.
The 10,600nm CO2 laser is highly energy-efficient at ablating the soft tissue photothermally with very low ablation threshold intensities. Such high-energy efficiency is due to the extremely small volume of irradiated tissue because of extremely short absorption depth—around 15 micrometers.[23]
Photothermal coagulation
Coagulation occurs in the range of 60–100 degrees Celsius,[23] leading to a significant reduction in bleeding (and oozing of lymphatic liquids) on the margins of ablated tissue during laser ablation (and excision, or incision) procedures.
Since blood is contained within and transported through the blood vessels, the diameter of blood vessels B, estimated to range from 21 to 40μm,[25] is a highly important spatial parameter that influences the efficiency of the photocoagulation process. Photothermal coagulation is also accompanied by hemostasis because of shrinkage of the walls of blood and lymphatic vessels, thanks to collagen shrinkage at increased temperatures.
The coagulation depth H (for 60–100 C range below the ablation margins) was shown[23] to be proportional to the absorption depth A—an inverse of the absorption coefficient presented in Fig. 1—and is also presented in Fig. 1 (for “superpulse” conditions). The coagulation depth H relative to the blood-vessel diameter B is an important measure of coagulation and hemostasis efficiency.
For H<<B (see erbium laser wavelengths in Fig. 1), optical absorption and coagulation depths are significantly smaller than blood-vessel diameters; coagulation takes place on a relatively small spatial scale and cannot prevent bleeding from the blood vessels severed during tissue ablation.
For H>>B (diode laser wavelengths in Fig. 1), optical absorption (near-IR attenuation) and coagulation depths are significantly greater than blood-vessel diameters; coagulation takes place over extended volumes. Coagulation depth can be extended by lengthening the laser pulse.
For H≥B (CO2 laser wavelengths in Fig. 1), coagulation extends just deep enough into a severed blood vessel to stop the bleeding. In other words, the CO2 laser’s excellent coagulation efficiency is due to the close match between the photothermal coagulation depth of approximately 50μm[16] and oral soft-tissue blood capillary diameters of 20–40μm.[25]
CO2 laser oral soft-tissue surgery
The current-generation dental CO2 laser technology features a small-footprint, compact unit with flexible hollow-fiber beam delivery and a variety of straight and angled handpieces. The flexible waveguide, with its pencil-like handpieces, allows convenient accessibility within the oral cavity.[14] The handpieces do not use disposables; they are autoclavable and easily adapted to switching between incision with coagulation, superficial ablation with coagulation, or coagulation modalities.
Unlike electrosurgery or the diode laser, the CO2 laser causes minimal mechanical and thermal trauma.[2,22] The CO2 laser’s ability to provide excellent hemostasis is valuable for precise and accurate tissue removal, improving the visibility of the surgical field for the clinician.[26]
The thermal damage to the surgical site and neighboring tissues is minimal because “superpulse” mode minimizes the amount of heat diffusing from the target zone.[2,13,26,27] Overall, the CO2 laser is faster, simpler, often requires no suturing, and minimizes complications and relapses when compared to conventional scalpel lesion removal.[2]
CO2 laser surgery is a noncontact method that reduces mechanical trauma. In comparison with a scalpel, the CO2 laser reportedly causes less pain and discomfort in patients after oral soft-tissue procedures.[2,28,29] Postoperatively, there is less reported swelling and edema because the CO2 laser seals lymphatic vessels on the margins of incision.[2,13,26,27,30]
Risk of infection is much lower with the CO2 laser than with a scalpel because the laser beam can instantly kill bacteria in its path, which isn’t possible with a scalpel.[2,14] Additionally, fewer myofibroblasts with CO2 laser surgery makes for lesser wound contraction, and thus less scar formation, than with scalpel surgery.[2,6,12,13]
Scalpel patients often take analgesics after treatment, while patients treated with CO2 lasers often do not.[2] In many cases, sutures are not needed after CO2 laser treatment, and the wound is left to heal by secondary intention.[2,14,31]
Many clinicians have observed improved wound healing[2,6,11] and a better aesthetic outcome with the CO2 laser, compared with scalpel surgery.[11] They observed the appearance of a fibrous membrane after 72 hours, which replaced the superficial necrotic layer of the surgical site. The epithelial covering of the wound began from the periphery.
The covering is thinner and more parakeratotic, compared with epithelium that appears after scalpel surgery.[11] The aesthetic outcome of CO2 laser interventions may be better than those from scalpel surgery for these reasons.[2]



Case study
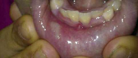
Initial findings: A painless, raised, well circumscribed, semitranslucent, confined lesion 5mm in diameter was located on the patient’s lower lip (Figs. 2 and 3). The 5-year-old patient was otherwise healthy. The lesion had been present for four months; the patient’s parents requested that it be removed.
Diagnosis and treatment plan: The lesion was clinically diagnosed as an extravasation mucocele; no histopathological analysis was needed. The proposed treatment plan was surgical excision using a CO2 10,600nm soft-tissue laser.




Surgical laser equipment and settings: A flexible hollow-waveguide SuperPulse LightScalpel LS-1005 CO2 laser with a straight tipless handpiece (Figs. 4–8) and 0.25mm focal spot size was used to remove the lesion. The laser was set to 3W “superpulse” at the F1–4 setting (20-hertz repeat pulsing with 40 percent duty cycle). The handpiece was used at a 1–3mm nozzle-to-tissue distance to ensure the 0.25mm focal-spot size on the target mucosa.
CO2 laser surgery: The lesion was excised with the CO2 laser. Local anesthetic (18 milligrams Septocaine and a 30-gauge needle) was used around the periphery of the lesion. To start, the mucocele was pulled upward with forceps to create tension (Fig. 4). The laser was then used to remove the lesion in two sections. The handpiece was held perpendicular to the target tissue to facilitate cutting. The first section of the lesion was larger (Figs. 4–6). The second was hidden beneath the top section (Fig. 8). Fluid was released and there was immediate hemostasis with minimal bleeding. The postoperative site was treated with a defocused beam (Fig. 9) for enhanced surface hemostasis and coagulation. The procedure took less than one minute to complete.


Postoperative care: Vitamin E was applied to the region after laser treatment. Sutures were not used, and the wound was left to heal by secondary intention. The healing progressed with no complications. The six-week postoperative photograph is presented in Fig. 10. Recurrence was not reported.
Summary
Surgical excision of mucoceles with the 10,600nm CO2 laser is superior to most alternative treatment options. Clinical efficacy is largely based on the CO2 laser’s excellent coagulation properties because of the close match between coagulation depth and gingival blood-capillary diameters. The CO2 laser also minimizes damage to surrounding tissues, reduces postoperative swelling and edema, and lowers the risks of complications, making it a superb surgical solution for mucocele removal.
Acknowledgments
Authors greatly appreciate the support and contribution from Anna “Anya” Glazkova, PhD, and Olga Vitruk, BSc, at LightScalpel in preparing this material for publication. Dr. Levine wishes to thank Dr. Joseph Creech, associate professor and director of pedodontic dentistry at ASDOH, for providing the images used in the article.
References
- Olivi G, Margolis FS, Genovese MD. Pediatric Laser Dentistry: A User’s Guide. Hanover Park, IL: Quintessence Publishing Co, Inc. 2011:134-142.
- Yagüe-García J, España-Tost AJ, Berini-Aytés L, Gay-Escoda C. Treatment of oral mucocele-scalpel versus CO2laser. Med Oral Patol Oral Cir Bucal. 2009 Sep 1;14(9):e469-74.
- Harrison JD. Salivary mucoceles. Oral Surg Oral Med Oral Pathol. 1975;39:268-78.
- Eversole LR, Sabes WR. Minor salivary gland duct changes due to obstruction. Arch Otolaryngol. 1971;94:19-24.
- Namour S. Atlas of Current Oral Laser Surgery. Boca Raton, FL: Universal Publishers. 2011;60-65.
- Baurmash HD. Mucoceles and ranulas. J Oral Maxillofac Surg. 2003;61:369-78.
- Bermejo A, Aguirre JM, López P, Saez MR. Superficial mucocele: report of 4 cases. Oral Surg Oral Med Oral Pathol Oral Radiol Endod.1999;88:469-72.
- Jinbu Y, Kusama M, Itoh H, Matsumoto K, Wang J, Noguchi T. Mucocele of the glands of Blandin-Nuhn: clinical and histopathologic analysis of 26 cases. Oral Surg Oral Med Oral Pathol Oral Radiol Endod. 2003;95:467-70.
- Delbem AC, Cunha RF, Vieira AE, Ribeiro LL. Treatment of mucus retention phenomena in children by the micro- marsupialization technique: case reports. Pediatr Dent. 2000;22:155-8.
- Coluzzi DJ, Convissar RA. Periodontal Laser Therapy. Atlas of Laser Applications in Dentistry. Hanover Park, IL: Quintessence Publishing Co; 2007: 185-186.
- Basu MK, Frame JW, Rhys Evans PH. Wound healing following partial glossectomy using the CO2 laser, diathermy and scalpel: a histological study in rats. J Laryngol Otol. 1988;102:322-7.
- Frame JW. Removal of oral soft tissue pathology with the CO2 laser. J Oral Maxillofac Surg. 1985;43:850-5.
- Pogrel MA, Yen CK, Hansen LS. A comparison of carbon dioxide laser, liquid nitrogen cryosurgery, and scalpel wounds in healing. Oral Surg Oral Med Oral Pathol. 1990;69:269- 73.
- Bornstein MM, Winzap-Kalin C, Cochran DL, Buser D. The CO2 laser for excisional biopsies of oral lesions: a case series study. Int J Periodont Restorative Dent 2005;25:221- 229.
- Cataldo E, Mosadomi A. Mucoceles of the oral mucous membrane. Arch Otolaryngol. 1970;91:360-5.
- Wilder-Smith P, Arrastia AM, Liaw LH, Berns M. Incision properties and thermal effects of three CO2 lasers in soft tissue. Oral Surg Oral Med Oral Pathol Oral Radiol Endod. 1995;79(6):685-691.
- Dario Re Cecconi: Mucoceles of the oral cavity: A large case series (1994–2008) and a literature review. Med Oral Patol Oral Cir Bucal. 2010;15(4):e551-6.
- Poker ID, Hopper C. Salivary extravasation cyst of the tongue. Br J Oral Maxillofac Surg. 1990;28:176-7.
- Burket LS, Greenberg MS, Glick M, Ship J. Burket’s Oral Medicine. Hamilton, ON: BC Decker Inc. 2008;11:202- 203.
- Reddy KMP, Hunasigi P, Varma AC, Kumar NHP, Kumar V. Mucocele on the lower lip treated by scalpel excision method- A Case Report. JOADMS 2015;1(3):62-66.
- Mc Donald, Avery &Dean: Dentistry for the child and adolescent, Eight edition, Mosby, 2004.
- Convissar RA, Diamond LB, Fazekas CD. Laser treatment of orthodontically induced gingival hyperplasia. Gen Dent. 1996;44(1):47-51.
- Vitruk P. Oral Soft Tissue Laser Ablative & Coagulative Efficiencies Spectra. Implant Practice US, Nov. 2014.
- Vogel A, Venugopalan V. Mechanisms of pulsed laser ablation of biological tissues. Chem Rev. 2003;103(2):577-644.
- Yoshida S, Noguchi K, Imura K, Miwa Y, Sunohara M, Sato I. A morphological study of the blood vessels associated with periodontal probing depth in human gingival tissue. Okajimas Folia Anat Jpn. 2011;88(3):103-9.
- Kotlow LA. Lasers in pediatric dentistry. Dent Clin North Am. 2004;48(4):889-922.
- Mason C, Hopper C. The use of CO2 laser in the treatment of gingival fibromatosis: a case report. Int J Paediatr Dent. 1994;4(2):105-109.
- Strauss RA, Fallon SD. Lasers in contemporary oral maxillofacial surgery. Dent Clin North Am. 2004;48(4):861-888.
- Deppe H, Horch HH. Current status of laser applications in oral and cranio-maxillofacial surgery. Med Laser Appl. 2007;22(1):39-42.
- Lambrecht JT, Stübinger S, Hodel Y. Treatment of intraoral hemangiomas with the CO2 laser. J Oral Laser Appl. 2004;4:89-96.
- Zaffe D, Vitale MC, Martignone A, et al. Morphological histochemical and immunocytochemical study of CO2 and Er:YAG laser effect on oral soft tissues. Photomed Laser Surg. 2004;22(3):185-189.



