Introduction
Nasopalatine duct cysts are the most common non-odontogenic cyst of the oral cavity.[1] Nasopalatine cysts occur in the middle of the palate, usually near the front of the first molars. It often appears between the roots of the maxillary central incisors. The cysts are usually not noticeable, but sometimes they can produce an elevation in the front portion of the palate.[2]
Nasopalatine duct cysts are caused either by spontaneous epithelial growth or growth following trauma, such as removable dentures, dental implant treatment, bacterial infection, or mucus retention.[3, 4]
Jack Hahn, DDS, Nasalpalatine Cyst Excision Case
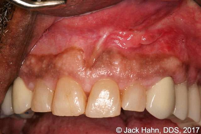
A patient presented to Jack Hahn, DDS, for a large swelling under the upper lip—a nasopalatine cyst (see Figure 1). Dr. Hahn opened the cyst with a scalpel, draining a substantial amount of exudate (see Figure 2). He then used his LightScalpel CO2 laser to sanitize the remaining cystic cavity, which also helped to manage the bleeding. He then sutured the cystic cavity shut (Figure 3). At six weeks post-operation the tissue is healing well (Figure 4).




Benefits of the LightScalpel Laser
In addition to incising and ablating the soft tissue, LightScalpel CO2 surgical laser can also be used for coagulation. Coagulation can be achieved by defocusing the laser beam (i.e. increasing laser tip-to-tissue distance), causing the laser’s fluence to drop below the ablation threshold of 3 Joules/cm2.[5] The sanitizing effect of the laser reduces the risk of infection, helping to speed up healing times.
References
- Grossmann SM, Machado VC, Xavier GM, et al. Demographic profile of odontogenic and selected nonodontogenic cysts in a Brazilian population. Oral Surg Oral Med Oral Pathol Oral Radiol Endod. 2007 Dec. 104(6):e35-41.
- Meyer, AW. A unique supernumerary paranasal sinus directly above the superior incisors. J Anat 1914;48:118-129.
- Nortje CJ, Farman AG. Nasopalatine duct cyst. An aggressive condition in adolescent Negroes from South Africa?. Int J Oral Surg. 1978 Apr. 7(2):65-72.
- McCrea SJ. Nasopalatine Duct Cyst, a delayed complication to successful dental implant placement: Diagnosis and surgical management. J Oral Implantol. 2012 Mar 12.
- Vitruk P. Oral Soft Tissue Laser Ablative & Coagulative Efficiencies Spectra. Implant Practice US. 2014;7(6):22-27.