Get A Quote

SuperPulse 10.6 micrometers CO2 laser-assisted, closed flap treatment of peri-implantitis

By: Linden, Eric and Vitruk, Peter | Published: 2015 in Implant Practice US

Drs. Eric Linden and Peter Vitruk explore the peri-implantitis ablative laser treatment protocol

Introduction

Dental implants are widely used to replace missing teeth with a high rate of success and patient satisfaction.[1,2] However, biological complications, such as periimplantitis, pose a serious challenge for dental clinicians. Different studies estimated that peri-implantitis occurs in 10.7% – 47.2% of patients with dental implants of over 10 years old.[3]

Peri-implantitis: definition, symptoms, and pathogenesis

Peri-implantitis is an “inflammatory process” that affects the tissue around the body or apex of an already osseointegrated implant leading to the loss of supporting bone.[4,5] Peri-implantitis is characterized by inflammatory response to anaerobic gramnegative plaque bacteria, motile organisms, and spirochetes, associated with a biofilm.[6,7] Quirynen, et al.,[7] noted that implants with peri-implantitis reveal a complex microbiota that includes conventional periodontal pathogens. The inflammatory response typically results in increased peri-implant probing depths, bleeding on probing and/or suppuration, possibly fistulas, progressive periimplant bone loss, and ultimately, dental implant mobility and loss.[6]

In addition to the submucosal presence of the aforementioned bacteria, numerous other factors have been associated with peri-implantitis. Among such factors are inadequate oral hygiene,[8] design of the implant, surface texture of the implant;[6] contamination, corrosion, and residual dental cement on submucosal implant surfaces,[9,10] excessive occlusal forces,[6,11] smoking, history of periodontitis on adjacent natural teeth,[12,13] poorly controlled diabetes mellitus,[8] and host carriage of IL-1RN gene polymorphisms.[14]

Treatment modalities

If the implant is still stable and the bone resorption is not overly severe, peri-implantitis can be treated and the implant saved. Periimplantitis can be treated conventionally (with the use of mechanic debridement) or with the assistance of lasers.[6,15,16] Conventional therapy involves surgery and debridement along with antibiotic therapy. Debridement consists in attempted mechanical removal of the calculus, cement, diseased tissue, and elimination of as much bacteria as possible. Debridement is performed with plastic instruments. Citric acid, chlorexidine, and topical tetracycline are used as adjunct therapeutic modalities.[17,18] Once debridement is complete, bone grafting is performed in an attempt to regenerate peri-implant bone. The patient’s occlusion is evaluated, and if mechanical overload is present, it is corrected. The patient’s oral hygiene is improved.[6] However, Leonhard and colleagues19 reported that 42% of implants treated for peri-implantitis using conventional therapy failed.

Laser-assisted therapy is performed via open or closed procedures. The lasers studied for peri-implantitis treatment are mainly the Nd:YAG, diode, Erbium, or CO2 .[20]

Open procedure presupposes a laser incision to gain access to the body of the implant. The granulation tissue is vaporized. Depending on the type of laser used, the bone is debrided with piezo scalers or laser (if Erbium laser is utilized), and the body of the implant is sterilized with the laser energy. Bone grafting is performed, if necessary, and the flap is sutured. However, the clinician needs to take into account that different laser wavelengths affect titanium implants differently, and some can potentially induce thermal injury to the underlying bone and negatively affect the bone regeneration.[21]

Closed flap procedure for treatment of peri-implantitis does not involve surgical incision. This article examines the use of the dental CO2 laser in closed procedure for treatment of peri-implantitis.

Laser-tissue and laser-implant interaction physics

Efficient decontamination of the implant surfaces can be achieved by photo-thermal laser ablation of the diseased tissue and bacterial matter around and off the surfaces of the implant without heating or damaging the implant if:

  1. laser energy is efficiently deposited into the target tissue (diseased tissue and bacterial biofilms on implant surface)
  2. laser-generated heat inside the target tissue is confined to the irradiated volume and is not thermally conducted away into the implant (which act as a highly efficient heat sink)
  3. laser-generated heat inside the target tissue is sufficient for vaporizing it
  4. laser energy is efficiently reflected off the surfaces of the implant once the biofilms are ablated off of its surface

The first condition (efficient laser energy deposition into the biofilm) is met when laser wavelength’s absorption depth[22-24] is less or comparable to the target tissue thickness, which is clearly the case for 10.6 micrometer CO2 laser wavelength even for the bacterial biofilms in 5-15 micrometer range,[25] as illustrated in Figure 1.

The second condition (of thermal confinement of laser energy within the irradiated tissue) is met when the laser pulse duration is shorter than Thermal Relaxation Time (TRT)[23-26] also presented in Figure 1. TRT defines the rate of how fast the irradiated tissue diffuses the heat away. TRT is defined through the thermal diffusion time: TRT = A2/K,[23-26] where A is the Absorption Depth discussed above. The physics behind the thermal diffusivity process is similar to diffusion and Brownian motion first described by Einstein in 1905.[24,27] Coefficient K is the tissue’s thermal diffusivity; K = λ /(ϱ C) ≈ 0.155 (+/-0.007) mm2/sec (derived from heat conductivity λ ≈ 6.2-6.8 mW/cm ºC; specific heat capacity C ≈ 4.2 J/g ºC; and density ϱ ≈ 1 g/cm3 for liquid water for temperatures in 37º-100ºC range).[28] The most efficient heating of the irradiated tissue takes place when laser pulse energy is high, and its duration is much shorter than TRT. The most efficient cooling of the tissue adjacent to the ablated zone takes place if time duration between laser pulses is much greater than TRT. Such laser-pulsing methodology, called SuperPulse, minimizes the depth of coagulation and is a must-have feature of any state-of-the-art soft tissue surgical CO2 laser. For 10 micrometers thick 80%-90% water-rich biofilm at 10.6 micrometer wavelength, the TRT is approximately 700 μsec. For thicker soft tissue (like epithelium) the TRT is approximately 1.5 msec. The SuperPulse CO2 lasers with pulses under 800 μsec (Luxar LX-20SP[25] and LightScalpel LS-1005[29]) efficiently confine the heat generated by the laser during the pulse within the targeted tissue.

The third condition (of efficient vaporization [or ablation] of the irradiated target tissue) is met when laser fluence during the SuperPulse pulse exceeds laser ablation threshold Eth [23,24] also presented in Figure 1. The more efficiently the laser energy is absorbed (Erbium and CO2 lasers), the lower the ablation threshold is. The less efficiently the laser energy is absorbed (diode and Nd:YAG lasers), the higher the ablation threshold is. During each SuperPulse pulse, the ablation depth δ is given by the formula δ = A (E – Eth) / Eth for the steady-state ablation conditions,[23,24] where A is the absorption depth and Eth is the ablation threshold fluence, and E is the fluence during the SuperPulse pulse. The ablation threshold at the 10.6 micrometer CO2 laser’s wavelength for a biofilm with an assumed 75%-95% water content equals approximately Eth = 3 J/cm2.

The fourth condition is easily met for Ti implants,[25] as illustrated in Figure 2, for any angles of incident of the laser beam in view of high reflectivity (>90%) of 10.6 micrometer CO2 laser wavelength from titanium.[30] This property makes the CO2 laser the safest wavelength for peri-implantitis treatment. Diode, Nd:YAG and Erbium laser wavelengths produce 3-4 times greater rate of the implant heating for comparable dose of laser energy used in the treatment.

CO2 laser treatment settings

A review of CO2 laser peri-implantitis treatment[31] reports an open flap protocol with average laser power in 2-4 watt range, resulting in good healing with new bone formation. Such protocol[31] does not specify the laser spot size and whether or not the SuperPulse was used. A closed flap sulcular debridement protocol[32] with low divergence tip with 0.73 watt average power was proven inefficient with respect to bacterial reduction; only a single sideway pass was administered. Given inefficient bacterial reduction in one treatment,[32] multiple treatments with weekly intervals are recommended.[33] A single treatment closed flap sulcular debridement protocol[34] with low beam divergence,[32] and LightScalpel high beam divergence (14º — see below) perio tip utilizes the high power SuperPulse settings of 4 watts and uses multiple sideway passes of the perio tip within the sulcus: A high degree of bacterial reduction is observed with highpowered optical microscopy.

The laser used in the peri-implantitis treatment reported in this article was a CO2 laser (10.6 micrometer ) LX-20SP set to SuperPulse mode at 2 watts (13.3mJ pulses with >50 watt peak power at 150Hz). The laser was operated in Repeat Pulse 10msec mode at 20 Hz averaging 0.4 watt (LightScalpel LS-1005/LS-2010 laser equivalent mode is SuperPulse 2 watt Repeat Pulse F1-2). Such relatively low average power (compared to open[31] and closed[32] flap protocols) still results in high laser fluence out of the tip and high clinical efficacy of the single treatment protocol due to small spot size and high beam divergence laser tip, and multiple sideways and up-and-down passes of the tip within the sulcus during treatment.[32]

Perio tip and CO2 laser treatment geometry

Laser handpiece LightScalpel PN LS9002-02 was fitted with a 0.25 mm spot size diameter hollow waveguide ceramic Al2O3 perio tip (distal OD=0.5mm, ID=0.3mm, working length 10mm) Light- Scalpel PN LS9005-05. The fluence level at the tip’s distal aperture exceeds 26 J/cm2 during each individual SuperPulse, which is sufficient for efficient ablation of the soft tissue[24] and bacterial biofilms.[25] The laser beam out of the perio tip diverges at approximately 14º, which is important for delivering laser energy to the walls of the sulcus and the implant during the closed peri-implantitis treatment procedure. Laser tissue interaction for different tip orientations (normal and parallel to the tissue) is illustrated in Figure 3. Both orientations produce efficient ablation and coagulation of the soft tissue.

Simulated sulcular debridement is shown in Figure 4. For epithelial crest ablation, the perio tip is oriented normal to the surface of the soft tissue as illustrated in Figures 3A and 4C. For sulcular and peri-implant pocket debridement applications, the perio tip is oriented parallel to the walls of the pocket, as indicated in Figures 3B and 3C and Figures 4A and 4B. Constant airflow through the hollow core of the tip pushes the sulcular debris and fluids (blood, saliva, and irrigation) out of the way of the laser beam; airflow also prevents the clogging of the hollow tip. Laser energy from the tip, directed at the surface of the tissue at the shallow angles of a few degrees, ablates/coagulates the surface of the soft tissue. When moved sideways, laser energy ablates/coagulates a strip of approximately 0.5 mm-1 mm width (see Figure 3B). Multiple passes of the tip produce multi-mm wide strip of superficial ablation and coagulation (see Figures 3C and 4B). During intra-pocket lasing, laser energy is also partially directed at the surface of the implant, which results in ablation of the biofilms off the surface of the implant, and its bacterial decontamination provided[25] SuperPulse fluence exceeds approximately 3 J/cm2. Laser energy is also reaching the infected, granulated tissue at the bottom of the sulcular pocket.

Protocol and case study

Closed CO2 laser treatment is recommended for early- to medium-stage periimplantitis and mucositis when bone loss around the cervical portion of the implant is involved. In the closed procedure, the CO2 laser energy is applied outside and inside the peri-implant pocket without making incisions, raising flaps, or bone grafts (laser de-epithelialization). Due to its bactericidal effects and the low absorption of the 10.6 micrometer wavelength by titanium implants, the CO2 laser is capable of killing bacteria on the surface of the implant[25] without damaging the implant or, potentially, the peri-implant bone.[6, 35-37] If peri-implantitis is more severe and affects the tissue around the apical aspect of the implant, then the open-flap surgical laser assisted treatment technique would be recommended that involves incisions, flaps, and bone grafts.[6]

The peri-implantitis treatment protocol used for the case described in this article includes the following steps:

  • closed procedure under local anesthesia
  • bone sounding to determine accurate bone topography
  • modified fiberotomy/closed elevation to the osseous crest
  • CO2 laser is used on the SuperPulse setting with specially designed perio tip
  • laser treatment of the entire circumference of the implant
  • piezo scaler
  • re-introduction of laser into the pocket — initiation of bleeding and hemostasis
  • occlusal adjustment
  • oral antibiotics for 7 days following the treatment
  • adapted oral hygiene regiment
  • dietary restrictions for 4-5 days following the treatment

Patient

Figure 5: Pre-op X-rays showing the presence of peri-implantitis with bone loss
Figure 5: Pre-op X-rays showing the presence of peri-implantitis with bone loss

A 50-year-old female, nonsmoker, with noncontributory medical history came in for a routine checkup. Clinical examination revealed increased pocket depths around two maxillary implants and bleeding upon probing. The pocket depths ranged between 5 mm-8 mm facially and 4 mm-9 mm lingually. Preoperative X-ray showed circumferential bone defects around both implants (Figure 5). Diagnosis of peri-implantitis was made with the bone loss to the 3-5 threads of the implants. The possible causes include bacterial invasion of the titanium surface, occlusal trauma, and anatomical placement issues relative to the crest of bone, obstructing access for maintaining oral hygiene.

The procedure involved the following steps:

Anesthesia: The patient received local anesthesia (2 carpules of 2% xylocaine with 1:100 epinephrine).

Bone sounding: Once anesthesia took effect, bone sounding was performed in order to precisely determine the bone topography (Figure 6). This step is crucial with the closed technique. The data obtained guides the clinician as to how far the laser tip needs to go into the pocket. The clinician will then move the laser tip staying 1 mm-2 mm away from the bone.

Figure 6: Preoperative bone sounding (under local anesthesia) was needed to determine the bone topography
Figure 6: Preoperative bone sounding (under local anesthesia) was needed to determine the bone topography

Fiberotomy: After bone sounding was complete, the modified fiberotomy procedure was performed (Figure 8). A small elevator was used to sever gingival fibers around the affected implants in order to open up the coronal aspect of the crest of gingival tissue (2 mm-4 mm deep). This step is important as it helps to introduce the laser tip into the pocket, ensuring the most efficient delivery of the laser energy to the target tissue.

Laser settings: De-epithelialization and implant biofilm removal: 0.25 mm periodontal tip was used. The air purge was on throughout the entire laser treatment procedure (the setting was “High”). The laser was used in the SuperPulse mode at 2 watts; the laser was set to 20% duty cycle which produced the average power of 0.4 watts. Coagulation after de-epithelialization and removal of implant biofilm: 0.4 mm tip was used. The air purge was on. The laser was used in the non-SuperPulse mode at 2 watts. (10 msec pulses, 20 Hz, 20% duty cycle — resulted in 0.4 watts of average power.)

Laser procedure: First, the crest epithelium was removed (SuperPulse laser settings) outside the peri-implant pockets in order to vaporize bacteria and to delay the down growth of epithelium into the pocket. Then the laser perio tip was introduced into the peri-implant pocket. The tip was backed off to maintain 1 mm-2 mm “safety margin” from the depth of the pocket. The tip was slowly moved sideways circumferentially the full width of the pocket (Figure 9A). Then the tip was brought up 1 mm, and another circumferential stroke was made, 1 mm up — and another circumferential stroke — until the top of the pocket was reached. The hand speed is crucial for this procedure: It should be slower — approximately 1 mm/sec for thicker epithelium — and slightly faster for thinner epithelium — approximately 2-3 mm/sec.

Implant cleaning with piezo scaler: After pocket de-epithelialization and ablation of implant biofilm were competed, the implant was cleaned with the ultrasonic piezo scaler with irrigation. The goal of this step was to remove the residual tissue, calculus, and cement from the implants and pockets.

Hemostasis: The laser was then reintroduced into the peri-implant pockets with the coagulation settings. Laser energy was used to coagulate the blood and cause formation of a clot that would slow down epithelial migration inside the pocket. The laser coagulation technique is similar to the de-epithelialization one described above, when the laser tip was moved circumferentially with approximately 1 mm/sec hand speed for strongly bleeding blood vessels (to cause 0.3 mm deep coagulation) and approximately 2-3 mm/sec for blood vessels that were bleeding less profusely.

Occlusal adjustment: Minor occlusal adjustment was performed.

Postoperative instructions: After the laser treatment, the patient was prescribed oral antibiotic, doxycycline, 100 mg twice a day for 7 days. For pain management as well as for the anti-inflammatory effect on wound healing, the patient was prescribed ibuprofen, 800 mg 3 times a day for 2 days.

The patient was instructed to avoid chewing on the treated side for 4-5 days following the procedure. Dietary restrictions included abstaining from acidic and/or spicy foods or drinks.

The patient was put on an adapted oral hygiene regimen that included no brushing or flossing for 5-7 days postoperatively. Starting on day 2, warm salt rinses were recommended.

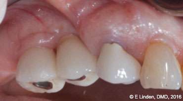
Follow-up examination: The patient returned for the first follow-up examination at 1 week postoperatively (Figures 10A-10C). The healing progressed well, and no signs of swelling or inflammation were present. During follow-up examination at 6 months postoperatively, the treatment site was completely healed with no signs of periimplantitis (Figures 11A-11C). The pocket depth, measured during the 6-month postoperative visit, was reduced to 3 mm-4 mm. (Significant improvement in comparison with the initial probing depths of up to 9 mm.)

Conclusions

Clinically efficient CO2 laser-assisted, closed flap peri-implantitis treatment protocol is detailed in this report. Also presented is the physics of the laser wavelength and pulsing effects on laser-tissue and laser-implant interaction, allowing for the science-guided optimization of the clinical protocol and instrumentation.

A single session treatment resulted in reduced pocket depths, diminished bleeding, and improved tissue health. Such protocol, together with its non-laser stages, includes:

  1. CO2 laser wavelength 10.6 micrometers characterized by high reflectivity from titanium and by strong absorption by water rich epithelium and bacterial matter
  2. SuperPulse laser settings with low average power to minimize heat effects
  3. high fluence, high divergence, and high strength hollow ceramic perio tip with continuous air jet to facilitate the maximum reach of laser energy within the pocket
  4. multiple sideways circumferential movement of the perio tip for efficient pocket debridement throughout its volume. The procedure is less traumatic than conventional or laser assisted open-flap techniques, because it does not involve incisions, raising flaps or scaling of the bone.

Future work will be aimed at (1) extending the protocol reported here to the treatment of periodontitis and (2) the reduction of the treatment time through increasing the average laser power within the 4 watts SuperPulse mode gated at 20-30 Hz in the 50%-100% Duty Cycle range.

About the Authors

Eric Linden, DMD, MSD

is a periodontist specializing in the field of Laser Periodontal Surgery. He serves as Assistant Attending within the Section of Oral, Diagnostic and Rehabilitation Sciences, Division of Periodontics at Columbia University/Columbia Presbyterian Medical Center in New York. He teaches and lectures to the Postgraduate Periodontal and Implant residents and conducts research on lasers, implants, and the treatment of periodontal and implant disease.

Dr. Linden is a member of American Dental Association, American Academy of Periodontology (AAP), New Jersey Dental Association, Bergen County Dental Society, American Association of Dental Research, Northern Bergen County Dental Study Club (President), Northeast Society of Periodontists, and Institute for Advanced Laser Dentistry, New York County Dental Society, and Academy of Laser Dentistry.

Dr. Linden serves as a consultant on Editorial Board of Dentistry Today, and as a consultant for the International Journal of Periodontics and Restorative Dentistry and currently serves on the AAP Task Force on establishing a framework for the treatment of peri-implantitis and establishing guidelines for the AAP worldwide membership.

Peter Vitruk, PhD, MInstP, CPhys

is a founder of LightScalpel, LLC. He is a member of the Institute of Physics, United Kingdom, and a Diplomate of and Special Advisor of Laser Physics & Safety Education at the American Board of Laser Surgery, USA. Dr. Vitruk can be reached at 1-866-589-2722 or pvitruk@lightscalpel.com.

Acknowledgments
Authors greatly appreciate the support and contribution from Anna Glazkova, PhD, in preparing this material for publication.

References

  1. Dental implants preferred option for aging bridges [news release]. American Academy of Implant Dentistry; May 28, 2008. http://www.aaid.com/news_and_publications/35. Accessed June 2015.
  2. Jung RE, Zembic A, Pjetursson BE, Zwahlen M, Thoma DS. Systematic review of the survival rate and the incidence of biological, technical, and aesthetic complications of single crowns on implants reported in longitudinal studies with a mean follow-up of 5 years. Clin Oral Implants Res. 2012;23(suppl 6):2–21.
  3. de Waal YC, van Winkelhoff AJ, Meijer HJ, Raghoebar GM, Winkel EG. Differences in peri-implant conditions between fully and partially edentulous subjects: a systematic review. J Clin Periodontol. 2013;40(3):266-286.
  4. Chen S, Darby I. Dental implants: maintenance, care and treatment of peri-implant infection. Aust Dent J. 2003;48(4):212-220.
  5. Albrektsson T, Isidor F. Consensus report of session IV. In: Lang NP, Karring T, eds. Proceedings of the 1st European Workshop on Periodontology. London: Quintessence; 1994: 365–369.
  6. Julian J. Lasers in implant dentistry. In: Convissar RA. Principles and Practices of Laser Dentistry. St. Louis, MO: Mosby; 2011:114-138.
  7. Quirynen M, Vogels R, Peeters W, van Steenberghe D, Naert I, Haffajee A. Dynamics of initial subgingival colonization of ‘pristine’ peri-implant pockets. Clin Oral Implants Res. 2006;17(1):25-37.
  8. Heitz-Mayfield LJ. Peri-implant diseases: diagnosis and risk indicators. J Clin Periodontol. 2008;35(suppl 8):292-304.
  9. Mouhyi J, Dohan Ehrenfest DM, Albrektsson T. The peri-implantitis: implant surfaces, microstructure, and physicochemical aspects. Clin Implant Dent Relat Res. 2012;14(2):170-183.
  10. Linkevicius T, Puisys A, Vindasiute E, Linkeviciene L, Apse P. Does residual cement around implant-supported restorations cause peri-implant disease? A retrospective case analysis. Clin Oral Implants Res. 2013;24(11):1179-1184.
  11. Chambrone L, Chambrone LA, Lima LA. Effects of occlusal overload on peri-implant tissue health: a systematic review of animal-model studies. J Periodontol. 2010;81(10):1367-1378.
  12. Safii SH, Palmer RM, Wilson RF. Risk of implant failure and marginal bone loss in subjects with a history of periodontitis: a systematic review and meta-analysis. Clin Implant Dent Relat Res. 2010;12(3):165-174.
  13. Renvert S, Polyzois I. Risk indicators for peri-implant mucositis: a systematic literature review. J Clin Periodontol. 2015;42(suppl 16):S172-186.
  14. Laine ML, Leonhardt A, Roos-Jansåker AM, Peña AS, van Winkelhoff AJ, Winkel EG, Renvert S. IL-1RN gene polymorphism is associated with peri-implantitis. Clin Oral Implants Res. 2006;17(4):380-385.
  15. Stübinger S, Henke J, Donath K, Deppe H. Bone regeneration after peri-implant care with the CO2 laser: a fluorescence microscopy study. Int J Oral Maxillofac Implants. 2005;20(2):203-210.
  16. Deppe H, Horch H, Helmut G, Brill T, Wagenpfeild S, Donathe K. Peri-implant care with the CO2 laser: In vitro and in vivo results. Med Laser Appl. 2005;20(1):61-70.
  17. Mombelli A. Microbiology and antimicrobial therapy of periimplantitis. Periodontol 2000. 2002;28:177-189.
  18. Santos VR, Duarte PM. Surgical anti-infective mechanical therapy for peri-implantitis: a clinical report with a 12-month follow-up. Gen Dent. 2009;57(3):230-235, 236-237.
  19. Leonhardt A, Dahlén G, Renvert S. Five-year clinical, microbiological, and radiological outcome following treatment of peri-implantitis in man. J Periodontol. 2003;74(10):1415-1422.
  20. Romanos GE. Treatment of periimplant lesions using different laser systems. J Oral Laser Appl. 2002;2:75.
  21. Moritz A. Oral Laser Application. Berlin, Germany: Quintessenz Verlags; 2006.
  22. Jacques SL. Optical properties of biological tissues: a review. Phys Med Biol. 2013;58(11):R37-61.
  23. Vogel A, Venugopalan V. Mechanisms of pulsed laser ablation of biological tissues. Chem Rev. 2003;103(2):577-644.
  24. Vitruk P. Oral soft tissue laser ablative and coagulative efficiencies spectra. Implant Pract US. 2014;7(6):22-27.
  25. Cobb C, Vitruk P. Effectiveness of a Super Pulsed CO2 Laser for Removal of Biofilm from Three Different Types of Implant Surfaces: An in vitro Study. Implant Pract US. 2015;8(3):20-28.
  26. Svaasand LO. Lasers for biomedical applications. In: Driggers RG, ed. Encyclopedia of Optical Engineering. New York, NY: CRC Press; 2003:1035-1041.
  27. Einstein A. Über die von der molekularkinetischen Theorie der Wärme geforderte Bewegung von in ruhenden Flüssigkeiten suspendierten Teilchen. Annalen der Physik. 1905;322(8):549-560.
  28. Weast RC, ed. CRC Handbook of Chemistry and Physics. 61st ed. Boca Raton, FL: CRC Press; 1981.
  29. Rosenlicht JL, Vitruk P. Ablation and sulcular debridement utilizing the CO2 laser for denture-induced gingival hyperplasia. Implant Pract US. 2015;8(2):38-41.
  30. Wolfe WL, Zissis GJ. The Infrared Handbook. Office of Naval Research: Washington DC; 1985: 7-81.
  31. Romanos G, Ko HH, Froum S, Tarnow D. The use of CO(2) laser in the treatment of peri-implantitis. Photomed Laser Surg. 2009;27(3):381-386.
  32. Mullins SL, MacNeill SR, Rapley JW, Williams KB, Eick JD, Cobb CM. Sublingual microbiologic effects of onetime irradiation by CO2 laser: a pilot study. J Periodontol. 2007;78(12):2331-2337.
  33. Migliorati EKJ, Simoes D, Rosa A. Regenerative laser periodontal therapy. In: Convissar RA. Principles and Practice of Laser Dentistry. 2nd ed. St. Louis, MO: Elsevier; 2015:76.
  34. Nordquist W, Vitruk P. SuperPulse 10.6 micrometer CO2 laser assisted periodontal pocket bactericidal therapy. Presented at: Academy of Laser Dentistry Annual Meeting; February 2015; Palm Springs, California.
  35. Deppe H, Horch H, Helmut G, Brill T, Wagenpfeild S, Donathe K. Peri-implant care with the CO2 laser: In vitro and in vivo results. Med Laser Appl. 2005;20(1):61-70.
  36. Deppe H, Horch HH, Neff A. Conventional versus CO2 laser-assisted treatment of peri-implant defects with the concomitant use of pure-phase beta-tricalcium phosphate: a 5-year clinical report. Int J Oral Maxillofac Implants. 2007;22(1):79-86.
  37. Romanos GE. Laser surgical tools in implant dentistry for the long-term prognosis of oral implants. Int Congress Series. 2003;1248:111.