Case Report

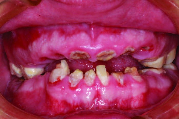
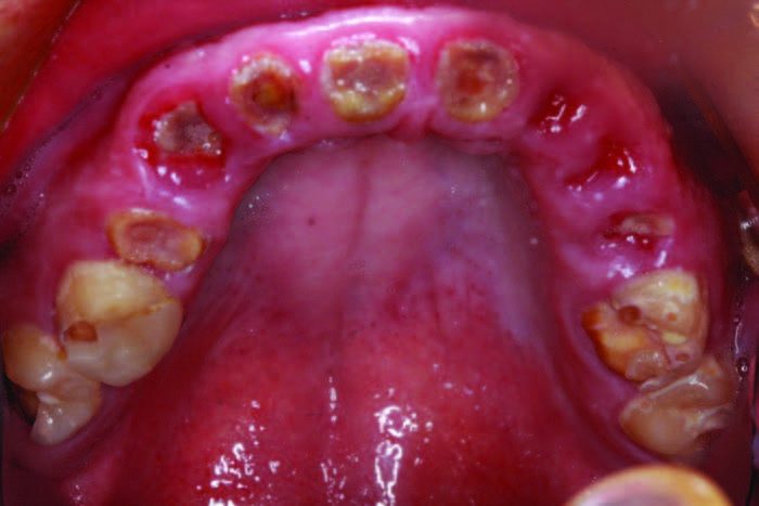
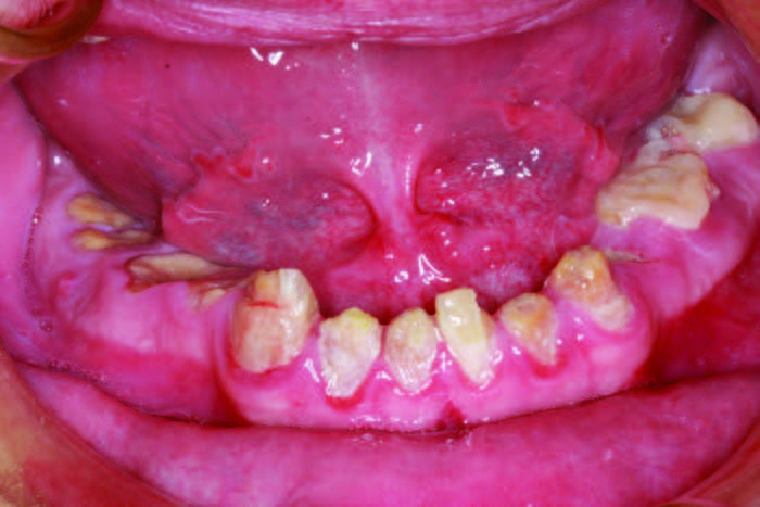
A 26-year-old male was diagnosed with hydrocephaly in utero. Hydrocephalus is a condition where there is an excessive accumulation of cerebral spinal fluid around the brain. Individuals affected with hydrocephalus often have impaired cognitive and physical development.[1,2] He was born into a loving family, but when his mother passed away from cancer, his father was unable to take care of a son with emotional and learning disabilities. This young man went on to have a terminal dentition due to poor oral habits. His grandparents stepped in and have been as supportive as possible, even while he has been living in a group home. They requested a treatment plan that would allow their grandson, whose teeth had been ravaged by soda, the dignity of having his smile replaced with implants. The patient’s Mountain Dew habit had destroyed his smile and self-esteem (Figure 1). The patient’s chronic soda habit with a lack of oversight at his group home led to gross generalized caries. Figure 2).
After evaluation of their finances and budget, a treatment was reverse engineered to provide them with a solution. While this patient was communicative and able to carry on a conversation, the issues related to patient care in the post-treatment phase had to be engineered into the prosthetic design. Records were taken, including photographs, study models, bite registrations, CBCT scans with reformatting, and a prosthetically driven implant placement. In order to properly set up this rehabilitation, the patient’s vertical dimension of occlusion (VDO) would be restored. This case would be sequenced to treat the mandibular arch first and then the maxillary arch. The use of 3DDX software (3D Diagnostix) for reformatting the CBCT scan, “fine-tuning” the doctors’ virtual implant placement in coDiagnostX implant planning software (Dental Wings), and the construction of surgical guides was an invaluable adjunct performed by 3DDX and an integral part of the reconstructive team’s effort. The CBCT scan was reformatted to trace nerves in each slice and allow for implant placement virtually within the mandible and, later, in the maxilla. This would ensure that the amount of required osteoplasty at each tooth site could be measured and that osteoplasty would be performed accurately at each root position (Figure 3).




Immediate Dentures Set the Stage
The immediate dentures were made by fabricating baseplates, waxing out all root tips, and then doing a try-in at the new VDO. These were processed and ready for delivery at the first surgical appointment.
Mandibular Surgery and Implant Placement
Mandibular implants were placed to engage at least 4.0 mm of bone apical to the extraction site, ensuring at least a 1.5-mm buccal and lingual plate of bone post-extraction. The reformatted CBCT scan yielded information to evaluate surgical safety zones and the osteoplasty required. After the mandibular implants were placed and restored, a lower PMMA provisional was fabricated against the approved upper denture.
After assessing the patient’s vitals and performing sterile protocol to include a Salvin Split Drape (Salvin Dental Specialties), a facial scrub, and oral chlorhexidine rinses, the patient was anesthetized and extractions were done (Physics Forceps [Golden- Dent]). Piezosurgery (mectron) was also used to sever periodontal ligaments, clean sockets, and level and smooth bone. Physics Forceps are unique surgical forceps that use the alveolar bone as a fulcrum so the tooth can be atraumatically rotated out of the socket. The beaks of the forceps engage the lingual or buccal cervical area and, with a gentle rotating motion, the tooth is released from the periodontal ligament and then removed with traditional forceps (Figures 4a and 4b).






If the tooth is ankylosed or multi-rooted, then a Piezo surgical device is used to sever the periodontal ligaments (Figure 4c). It uses micro vibrations to allow the various inserts to remove bone, cut ligaments, and level osteotomies with a minimum of bleeding. It practically stops bleeding due to the movement of bone, the sealing of capillaries, and saline irrigation during the procedure. Extractions of all the mandibular teeth were done, and a caliper was used as measured in the reformatted CBCT scan (3DDX) to mark the alveolus and begin osteoplasty at each socket for the planned implant platform placement (Figure 5a). The osteoplasty was performed atraumatically using the Piezosurgery unit, and, after a cut was made buccal to lingual, a diamond insert was used to smooth all sharp edges and to level the implant sites using the Piezo surgical device (Figures 5b and 5c). A 10,600-nm CO2 laser (LightScalpel) was used to disinfect the sockets (Figure 6a). The laser uses water as its main chromophore and removes tissue by vaporization while limiting any zone of necrosis. Bacterial kill within the extraction socket, granuloma removal, and hemostasis are all accomplished with the use of this true spatially accurate laser device. In fact, use of the laser to trim tissue around abutments and permucosal healing abutments, treat peri-implantitis, and remove frena to decrease tissue pull on implants are all indicated procedures for this wavelength of CO2 laser.[3] Trimming of hypertrophic tissue during maxillary provisional placement allows for tissue modification without bleeding (Figure 6b).


At the time of edentulation, the mandibular implants were placed. The Tapered Internal Implant System (BioHorizons) has Laser-Lok technology, or micro-grooves that allow the implant to be placed subcrestal, equicrestal, or supracrestal to hold on to the bone and hemi-desmosomes of the tissue. The buttress threads provide for aggressive cutting, progressive bone loading, and excellent bone-implant contact, while the 1.5-mm deep internal hex provides a stable seal of prosthetic components. Implant placement was performed according to CBCT analysis. After placement, the lip of bone on the lingual was removed with the Piezosurgery by Mectron. The flat side of BioHorizons’ 3inOne abutment was oriented toward the labial for ease in orientation after uncovering and for impressions where a ball top screw can be used with this abutment as an impression transfer coping (Figure 7). After 4 months of healing and the uncovery of the permucosal healing abutments, the soft tissue was healthy and had great keratinized tissue (Figure 8a). The preliminary impression allowed the lab team (Glidewell Dental Laboratory) to return a verification jig to assess the accuracy of the impression and to ensure that the prosthesis would seat passively. The Sheffield one-screw test was performed after luting the verification jig together with Primatec Pattern Resin (Figures 8b and 8c). This resin has less than 0.1% shrinkage, making it the luting option of choice when compared to other types of luting resins. Once the jig was luted, alternate screws were loosened, and the terminal screws were also loosened to verify the jig would not lift up. A master impression (Aquasil Ultra Xtra [Dentsply Sirona]) was taken over the verification jig. This impression material provides an extended set time of 5 minutes to allow for adequate time to load the tray, inject around abutments, and find the screw access channels using the open tray impression technique.






Maxillary Surgery and Implant Placement
The maxillary arch surgery began after the mandibular arch had healed. The full maxillary edentulation was also done using Piezosurgery and Physics Forceps. As seen in Figure 9, the lingual beak and labial bumper atraumatically “lift” the tooth out of the socket while maintaining the buccal plate. If sectioning of the tooth is required, or if purchase points need to be created for the forceps beak, then this forceps technique can allow for efficient root removal. After the extractions, the sockets were grafted with LifeNetHealth bone (Salvin Dental Specialties), and Mem-Lok type I collagen fiber membranes (BioHorizons) were used over the grafted maxilla due to the need to maintain graft coverage for 26 to 38 weeks. This material was also chosen because of its macromolecular pore size and its easy adaptation to the surgical site. After healing for 4 months, the maxillary implants were virtually planned using a new CBCT scan that first scanned the denture in with fiduciary markers (Suremark) placed and then the denture was scanned separately. This dual scan protocol (as directed by 3DDX) permits deluxe reformatting so that implants can be planned with the upper denture in a separate color, allowing for proper 3-D placement of implants within the confines of the approved occlusal construct (Figure 10). After fine-tuning services, a mucosal- born surgical guide was fabricated with maxillary implants placed for the most optimal A-P spread. The guide tubes, stabilization pins, and quality control were done by 3DDX (Figure 11). The bilateral subantral sinus augmentation was not done in order to accommodate the grandparents’ budget. The maxillary arch was grafted, and an immediate denture was delivered.






The use of 3DDX to reformat a CBCT scan, to fine-tune, and to help design the surgical guide is a service that allows for an excellent fit, replication of the approved implant placement, and also the use of a guided surgery utilizing the 3DDX Side-Opening Kit (3D Diagnostix). This kit has keys that fit within the guide for each drill diameter, allowing for 3-D orientation of the osteotomy within the x-, y-, and z-planes. The final BioHorizons burs were used to ensure that the osteotomy matched the geometry of the Tapered Internal implant.
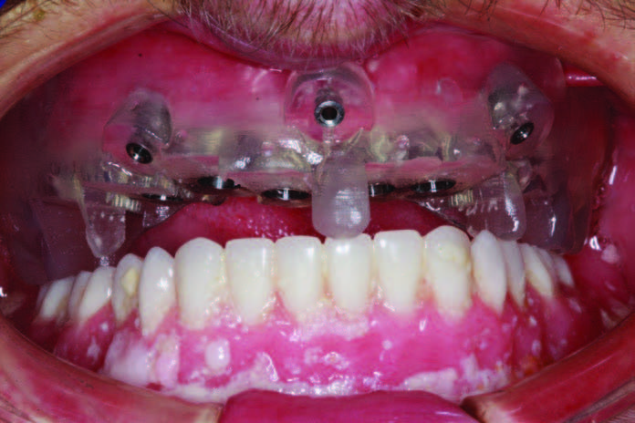
After implant placement and removal of the healing abutments, well-keratinized tissue was present that facilitated taking a good impression and cleanseability (Figure 12). After making the master impression, a baseplate and rim were ordered with instructions to engage every implant, leave windows for direct visualization at each implant site, and use metal componentry to aid as a secondary verification of seating (Figure 13). At this point, the Sheffield one-screw test was also performed to ensure the accuracy of the impression both with the baseplate and with the verification jig. When the custom abutments are designed and seated with abutment seating jigs, the verification jig is tried on; luted; and, if needed, separated and re-luted to ensure that there is no rocking or lifting with screw delivery (Figure 14). A custom tray was provided by the lab team, and it was tried in to learn the proper insertion path. Wax was then put in the screw access channel, and impression material (Aquasil Ultra Xtra) was injected around the abutments and used to load the tray. The impression was seated, and a finger was used to swipe away impression material to find the screw access channels. The working time of 5 minutes allows the dentist to relax while finding the screws. There is nothing more stressful than taking a full-arch implant impression and then losing your orientation and scrambling to seat it, as cutting off an impression intraorally can be a nightmare. This extended set and accurate impression material allows time for seating and the clearing of material (Figure 15). A full-arch impression is also made of the abutments after delivery to fine-tune gingival contours prior to fabrication of the monolithic BruxZir prosthesis (Glidewell Dental Laboratories).



DISCUSSION
Identify Problems: Past, Present, and Future
Past problems highlighted poor hygiene. Current problems highlight ridge laps created in prosthetic design. Future problems are that, without ideal prosthetic contours, food impaction and peri-implant mucositis or peri-implantitis would occur.
In evaluating the mandibular PMMA provisional, it was noted that there were ridge-laps in the intaglio, which would lead to food impaction, decreased hygiene, and increased risk for peri-implant mucositis and peri-implantitis, in turn leading to premature failure (Figure 16). A new PMMA was ordered, and the intaglio was hand-carved and returned to the lab team to be rescanned and refabricated. This case required 4 PMMAs to improve on overbite, overjet, phonetics, and cleanseability (Figure 17).
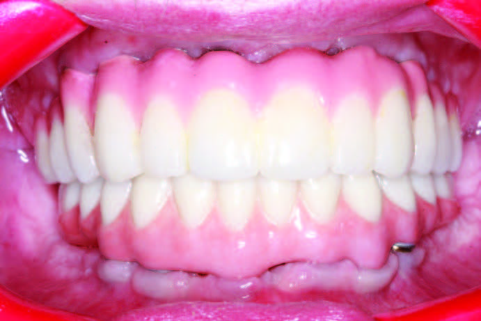
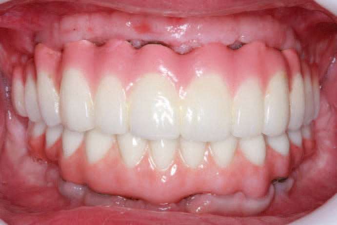
The ability to work out aesthetics and phonetics and test function prior to the finalization of prostheses cannot be understated. The final Obsidian fused-to-gold bridge (Glidewell Dental Laboratories) opposing a Monolithic BruxZir hybrid prosthesis mimics the prototypic restoration as confirmed with the PMMAs (Figure 18). The intaglio demonstrates the time, effort, and attention required to produce sluiceways that will facilitate the use of an oral irrigator and a proxy brush (Figure 19).





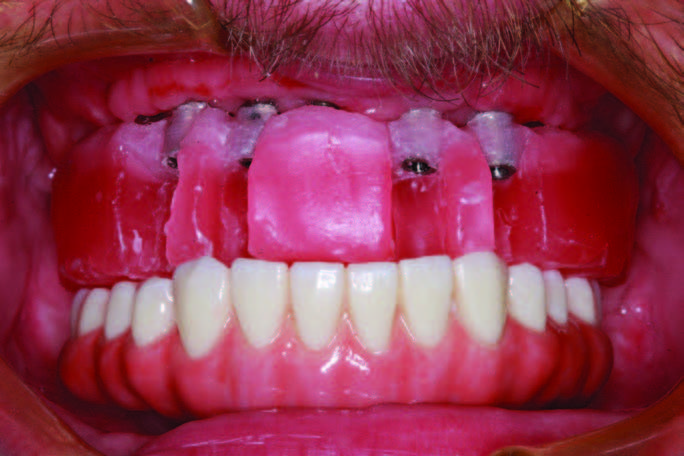
The retracted view and the patient’s full-face smile are demonstrative of the excellent laboratory communication and careful attention to each step in this patient’s journey (Figures 20 and 21). His oral care required extra attention due to his emotional and psychological deficits caused by his hydrocephaly. While dentists cannot guarantee the longevity of prostheses, the journey from this patient’s beginning to his new oral restorative beginning creates hope and changes interpersonal feelings and responsibility. The implant placement and number should allow for optimal mastication throughout his life with proper maintenance and homecare (Figure 22).


Personal Transformation
While this patient lives in a group home and performs tasks and jobs to support his work within his community, he has really gained confidence and joy from realizing a new smile. The love, dedication, and support of his grandparents allowed him a new way to approach the rest of his life, and his emotional joy was abundant.
The placement of implants maximized the A-P spread without bilateral sinus lifts (due to the budget of the grandparents) and was within the parameters set so that the case would have a good prognosis. The grandparents and patient were satisfied. The emotional catharsis found in transforming a disease-ravaged oral cavity to better health is the endpoint of all extreme dental reconstructions.
Helping the patient clean his prostheses is the next challenge, and customization of brushes and proxy brushes will aid in this endeavor.
CLOSING COMMENTS
We would like to think that a digital plan will not require modification because it is, in fact, “digital.” The reality of bone height and width, as well as the need to reduce force factors, stress magnifiers, and parafunction, may result in the need for dynamic treatment or prosthesis modification. This case highlights many dynamic changes made intraoperatively that led to a predictable and satisfactory result. Understanding prosthesis design and limitations and testing provisionals before finalization of the prostheses are important lessons when undertaking oral rehabilitation. Given the patient’s psychogenic issues, the time spent in provisionalization greatly assisted in understanding prosthetic modification prior to finalization.
References
- National Institute of Neurological Disorders and Stroke. Hydrocephalus fact sheet. https://www.ninds.nih.gov/Disorders/Patient-Caregiver-Education/Fact-Sheets/Hydrocephalus-Fact-Sheet#3125_1. Accessed November 12, 2018.
- MedlinePlus. Hydrocephalus. https://medlineplus.gov/hydrocephalus.html. Accessed November 12, 2018.
- Cobb CM, Vitruk P. Effectiveness of a super-pulsed CO2 laser for removal of biofilm from three different types of implant surfaces: an in vitro study. Implant Practice US. 2015;8:20-28.
Additional Reading:
- Batson ER, Cooper LF, Duqum I, et al. Clinical outcomes of three different crown systems with CAD/CAM technology. J Prosthet Dent. 2014;112:770-777.
- Krüger S, Deubener J, Ritzberger C, et al. Nucleation kinetics of lithium metasilicate in ZrO2- bearing lithium disilicate glasses for dental application. Int J Appl Glass Sci. 2013;4:9-19.
- Pozzi A, Tallarico M, Barlattani A. Monolithic lithium disilicate full-contour crowns bonded on CAD/ CAM zirconia complete-arch implant bridges with 3 to 5 years of follow-up. J Oral Implantol. 2015;41:450-458.
- Papaspyridakos P, Chen CJ, Chuang SK, et al. A systematic review of biologic and technical complications with fixed implant rehabilitations for edentulous patients. Int J Oral Maxillofac Implants. 2012;27:102-110.
- Larsson C, Vult von Steyern P, Nilner K. A prospective study of implant-supported full-arch yttria-stabilized tetragonal zirconia polycrystal mandibular fixed dental prostheses: three-year results. Int J Prosthodont. 2010;23:364-369.
- Catone GA, Alling CC. Laser Applications in Oral and Maxillofacial Surgery. Philadelphia, PA: WB Saunders; 1997.
Disclosure: Dr. Winter receives material support from Glidewell Dental Laboratories, BioHorizons, mectron, and Dentsply Sirona.



